Newsweek13 de mayo de 2020
Varios escaneos realizados en los cuerpos de pacientes con COVID-19 han revelado los estragos que el coronavirus puede provocar en los intestinos.
Para realizar el estudio que, al parecer, marca la primera vez en que se publican imágenes abdominales de pacientes con COVID-19 en una revista científica, los investigadores del Hospital General de Massachusetts y de la Facultad de Medicina de Harvard analizaron los escaneos de 412 personas internadas en un centro de atención a la salud entre el 27 de marzo y el 10 de abril.
A estos pacientes se les practicaron escaneos por distintas razones, entre ellas, síntomas de dolor abdominal y resultados anormales en las pruebas hepáticas.
El equipo esperaba que la valoración de los escaneos arrojara alguna luz sobre la manera en que el virus afecta a otras partes del cuerpo además de los pulmones.
Del número total de participantes, 241 eran varones y 171 eran mujeres. Treinta y cuatro por ciento de los participantes tenían al menos un síntoma gastrointestinal, y 136 requerían tratamiento en cuidados intensivos. En promedio, la edad de los pacientes era de 57 años y el intervalo de edades iba de los 18 a los 90 años. Los trabajadores de la salud realizaron radiografías a 137 de los pacientes, ultrasonidos a 44, tomografías computarizadas a 52, y un estudio de imágenes por resonancia magnética a uno.
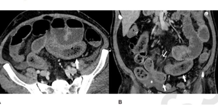
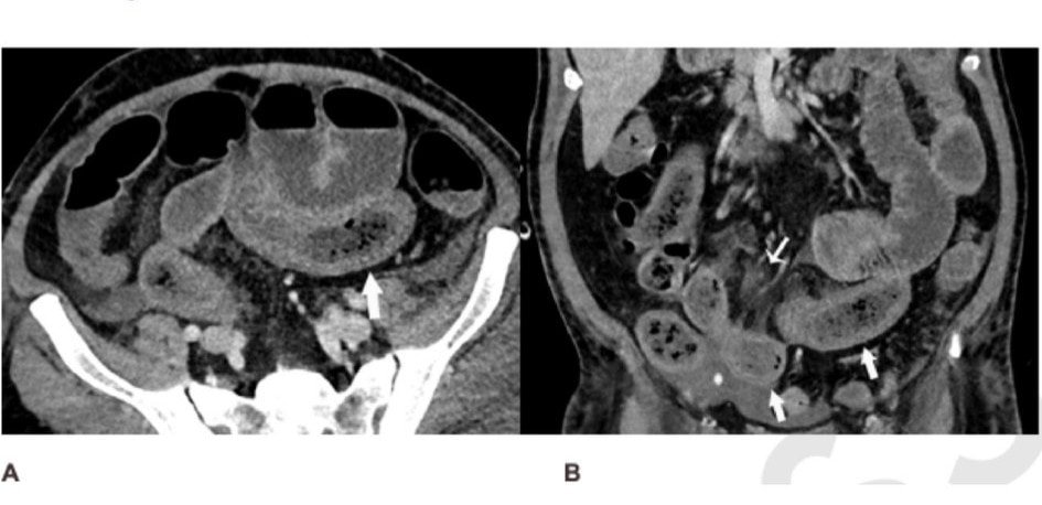
Una tomografía computarizada del abdomen y la pelvis de un hombre de 57 años sospechoso de tener un suministro de sangre deficiente en el intestino. La exploración muestra que su intestino delgado estaba distendido y engrosado en partes. Foto: Radiological Society of North America
Una tomografía computarizada del abdomen y la pelvis de un hombre de 57 años sospechoso de tener un suministro de sangre deficiente en el intestino. La exploración muestra que su intestino delgado estaba distendido y engrosado en partes. Foto: Radiological Society of North America
Los hallazgos, publicados en la revista Radiology, mostraron signos de anomalías y problemas intestinales, y el flujo de bilis fue común en los escaneos de los pacientes. Alrededor de 31 por cientos de los escaneos mediante tomografías computarizadas mostraron que los pacientes tenían problemas en la pared intestinal.
También se encontró que los pacientes tenían padecimientos como el engrosamiento de la pared intestinal, así como quistes de gas en dicha pared y en la vena que lleva la sangre del tracto gastrointestinal y del bazo hacia el hígado. Uno de los pacientes presentaba una perforación intestinal. En 20 por ciento de los pacientes en cuidados intensivos, había signos de que el suministro de sangre a los intestinos era inadecuado.
El Dr. Rajesh Bhayana, miembro del cuerpo docente de obtención de imágenes abdominales del Departamento de Radiología del Hospital General de Massachusetts en Boston, y coautor del estudio, comentó en una declaración: “Encontramos anomalías intestinales en las imágenes de pacientes con COVID-19, y más comúnmente, en los pacientes más graves que acudieron a la unidad de cuidados intensivos.
“Algunos de los síntomas son típicos de la isquemia intestinal o necrosis del intestino, y en las personas sometidas a cirugía pudimos ver pequeños trombos vasculares junto a las áreas de necrosis intestinal.
Bhayana explicó: “Los pacientes internados en las unidades de cuidados intensivos pueden tener isquemia intestinal por otras razones, pero sabemos que el COVID-19 puede producir trombos y daños a los vasos sanguíneos menores, por lo que [el] intestino también podría verse afectado por ello”.
Es necesario realizar más investigaciones para aclarar por qué los pacientes con COVID-19 presentan problemas intestinales, y en particular, para definir la función de los trombos en la necrosis celular de esta parte del cuerpo, además de descubrir si el virus mismo es el responsable, escribieron los autores.
El equipo se preguntó por qué los pacientes con COVID-19 pueden tener problemas intestinales y destacó que la enzima de nuestro cuerpo que utiliza el coronavirus para infectarnos se expresa en las células intestinales, en las arterias y venas y en el tracto gastrointestinal, además de los pulmones. También señalaron que en investigaciones anteriores se indica que el coronavirus podría inflamar las células que cubren el interior de los vasos sanguíneos.
La limitación más notable del estudio fue que solo participaron pacientes de un único centro de salud, por lo que los resultados podrían no ser generalizables a la población en general, dijeron.
Este es el estudio más reciente donde se explora la manera en que el coronavirus, que ha infectado a más de 4.1 millones de personas, de acuerdo con la Universidad Johns Hopkins, puede afectar al aparato digestivo. Por ejemplo, en un estudio publicado la semana pasada en la revista Science se encontró que el coronavirus puede infectar y replicarse en las células del intestino humano.{















Por